Виправлення
прикусу

за допомогою брекетів в стоматології StuDio Dent
4.8 з 5 оцінка в соц. мережах
Найсучасніші ортодонтичні системи та методи лікування
Безкоштовна діагностика на інтраоральному сканері
A blue and yellow circle with the number twenty four.
Безпроцентна розстрочка
на послуги на 4 місяці
Консультація в подарунок
26 років досвіду в імплантації та хірургії
5.0
image
A tooth with a screw in the middle of it.

Отримайте план лікування від головного лікаря

Дивитись
процесс лікування
Лікування без болю
Анестезія останнього покоління. Підбираємо анестезію та дозування індивідуально виходячи з анатомічних та фізіологічних особливостей організму.
Лікування уві сні
Медикаментозний сон – найсучасніший метод седації, що дозволяє проводити навіть складні втручання без дискомфорту для вас.
Європейський протокол стерильності
Все обладнання обробляється при 134°C.
І зберігається в крафт-пакетах, які відкриваються перед вами.
A man in a black shirt with his arms crossed.
Ваш головний лікар
Віталій Штоколов
За 22 роки встановив більше 20 000 зубів
Спеціалізуємось на протезуванні, допомагаємо пацієнтам, коли інші лікарі безсильні
Отримати план лікування:
Thank you! Your submission has been received!
Oops! Something went wrong while submitting the form.

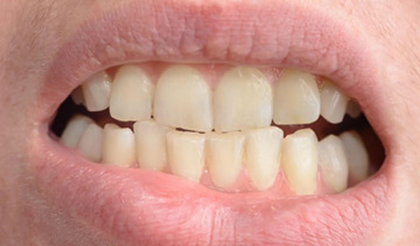
Коли потрібно носити брекети?

A close up of a person's mouth with a missing tooth.
При порушеннях жувальної функції
Шляхом виправлення прикусу вирішуємо проблеми з пережовуванням їжі
A close up of a person's mouth with a missing tooth.
При естетичних дефектах посмішки
Ортодонтичне лікування дозволяє виправляти прикус у будь-якому віці
A close up of a person's mouth with a missing tooth.
При проблемах
з дикцією
Коригуємо розташування зубів для правильного змикання щелеп

Види та вартість брекетів

Металева
брекет-система
США 🇺🇸
16 080 грн
Самий швидкий результат серед звичайних брекетів
Простіша гігієна
Більш плоскі, «не так ощутимы во рту»
Найпомітніше всіх інших видів брекетів
Більше тре щоки
Отримати консультацію
Керамічна
брекет-система
США 🇺🇸
26 660 грн
Майже такий же швидкий, навіть без металевого пазу. Сучасна кераміка класних брендів дає таке ж скольжіння, як у металу
Гігієна трохи склідніша
Трохи більші по обʼєму
Менш помітні
Підходять всім, від детей до дорослих
Меньш тре щоки
Більше тре щоки
Отримати консультацію
Комбінована звичайна
(з ікла по ікла-керамічна, далі-металева)
США 🇺🇸
20 050 грн
Швидший результат за інші (лігатурні, несамолігуючи) системи
Найпростіша гігієна, ніж у звичайних брекетів
Немає лігатур
Ще менш замітна, ніж звичайна металева система
Не труть щоки
Підходять всім, від детей до дорослих
Отримати консультацію
Керамічна
брекет-система
США 🇺🇸
26 660 грн
Майже такий же швидкий, навіть без металевого пазу. Сучасна кераміка класних брендів дає таке ж скольжіння, як у металу
Гігієна трохи склідніша
Трохи більші по обʼєму
Менш помітні
Підходять всім, від детей до дорослих
Меньш тре щоки
Більше тре щоки
Отримати консультацію
Комбінована звичайна
(з ікла по ікла-керамічна, далі-металева)
США 🇺🇸
20 050 грн
Швидший результат за інші (лігатурні, несамолігуючи) системи
Найпростіша гігієна, ніж у звичайних брекетів
Немає лігатур
Ще менш замітна, ніж звичайна металева система
Не труть щоки
Підходять всім, від детей до дорослих
Отримати консультацію
Металева
брекет-система
США 🇺🇸
16 080 грн
Самий швидкий результат серед звичайних брекетів
Простіша гігієна
Більш плоскі, «не так ощутимы во рту»
Найпомітніше всіх інших видів брекетів
Більше тре щоки
Отримати консультацію

отримайте нову посмішку від команди STUDIO DENT

Стаж:
26 років
Відгуки:
Штоколов
Віталій Дмитрович
Вища, лікар стоматолог
  • Щелепно-лицьова хірургія та хірургічне відновлення зубощелепної системи
  • Імплантологія та сучасне протезування
  • Сучасні методики кісткової пластики для довгострокової стабільності імплантатів
Штоколов Віталій Дмитрович
Стаж:
14 років
Відгуки:
Кульбацька
Ольга Миколаївна
Вища, лікар стоматолог
  • Комплексний підхід до здоров’я зубів і ясен дитини
  • Відновлення функції та естетики зубів сучасними методами
  • Профілактика та професійна чистка
Кульбацька Ольга Миколаївна
Стаж:
10 років
Відгуки:
Сударіков
Максим Андрійович
Вища, лікар стоматолог
  • Сучасний підхід до ендодонтичного лікування з використанням мікроскопа
  • Повна реабілітація за допомогою адгезивних керамічних конструкцій
  • Ефективні рішення в протезуванні
Сударіков Максим Андрійович
Стаж:
6 років
Відгуки:
Дяків
Сергій Васильович
Лікар-стоматолог
  • Естетичне та комфортне вирівнювання зубів за допомогою елайнерів
  • Відновлення зубів ортопедичними конструкціями
  • Якісне пломбування та реставрації
Дяків

Імплантація складається з 2-х етапів і включає 6 обов'язкових елементів

перший етап
Хірургічний
A pair of dental implants on a white background.
Вид та метод імплантації
A group of dental tools sitting on top of a white table.
Робота у ротовій порожнині
A metal object with a needle in the middle of it.
Анестезія та матеріали
Результат етапу
Імплантат встановлений у ротовій порожнині
другий етап
Ортопедичний
image-implants
Формувач
ясен
A couple of screws sitting on top of each other.
Індивідуальний абатмент
A close up of a tooth on a white background.
Цирконієва
коронка
Результат етапу
На імплантат встановлено коронку

Стоматологічна клініка "Studio Dent"

попередня пропозиція
наступна пропозиція
Нас рекомендують 98% пацієнтів
Студіо Дент - клініка повного циклу, де ви зможете пройти повну діагностику та отримати допомогу навіть в складних випадках. Від невідкладної допомоги до планових операцій по повному перевтіленню посмішки. Лікарі проведуть необхідну діагностику за допомогою найактуальніших цифрових апаратів, нададуть консультаційну підтримку, призначать і проведуть ефективне лікування, якісне надійне протезування.

Відповіді на запитання щодо імплантації “під ключ”

Ми працюємо над цим блоком...

Cтомалогія Studio Dent
Перша цифрова клініка в Бердичеві

Європейські сертифікати якості
20 000+ пацієнтів
Бездоганна репутація клініки
Повністю цифрове лікування
image
Як до нас дістатись?

ОТРИМАЙТЕ ЗДОРОВУ УСМІШКУ ВЖЕ СЬОГОДНІ

Телефони:
+38 097 175 77 00
Графік:
Залишились питання?
Thank you! Your submission has been received!
Oops! Something went wrong while submitting the form.